Echocardiography Screening for PH after PE
An essential tool for evaluation
A transthoracic echocardiogram (TTE) helps physicians evaluate patients with suspected pulmonary hypertension (PH)1:
-
Enables indirect assessment of pulmonary arterial pressure
-
Permits evaluation of intracardiac shunt or left-heart disease as causes of PH
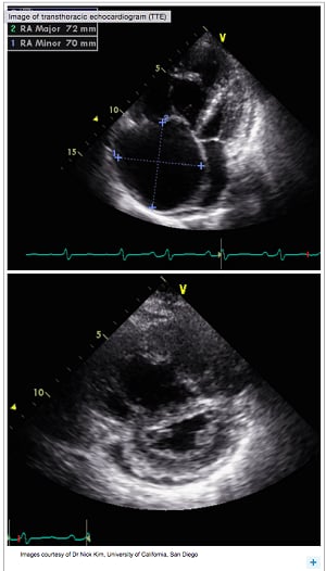
Signs of PH with echocardiogram
The following findings suggest PH1:
-
Right ventricular dilatation or overload
-
Right atrial enlargement, hypertrophy, and hypokinesis
-
Tricuspid regurgitation
An echocardiogram may be performed 6 weeks after acute pulmonary embolism (PE) to screen for persistent PH that may predict the development of chronic thromboembolic pulmonary hypertension (CTEPH).2
References:
1. Jenkins D, Mayer E, Screaton N, Madani M. State-of-the-art chronic thromboembolic pulmonary hypertension diagnosis and management. Eur Respir Rev. 2012;21(123):32-39. 2. Jaff MR, McMurty MS, Archer SL, et al. Management of massive and submassive pulmonary embolism, iliofemoral deep vein thrombosis, and chronic thromboembolic pulmonary hypertension: a scientific statement from the American Heart Association. Circulation. 2011;123(16):1788-1830.
